Бронхоальвеолярный лаваж (БАЛ) у собак и кошек
Показания
Основные симптомы при коллапсе, воспалении дыхательных путей
Техника проведения бронхоальвеолярного лаважа
Бронхоальвеолярный лаваж – диагностическая процедура, заключающаяся во введении в бронхи и легкие пациента стерильного раствора, дальнейшем его удалении и исследовании клеточного состава полученного образца.
Для проведения диагностики используется бронхоскоп, таким образом врач получает возможность более детально оценить состояние дыхательных путей и взять анализ именно из поврежденного участка. Кроме того, БАЛ оказывает терапевтический эффект. У многих пациентов дыхательная функция после проведения процедуры значительно улучшается.
Показания
Бронхоскопия в сочетании с забором смывов часто используется в ветеринарной практике. Если бронхоскопия позволяет выявить степень воспаления, коллабирование дыхательных путей, бронхоэктазию, опухолевое поражение, то забор смывов дает возможность оценить характер воспаления (клеточный состав жидкости) и провести микробиологическое исследование (бактериальный посев с целью обнаружения возбудителя и определения его чувствительности к антибиотикам).
БАЛ показан при большинстве хронических и некоторых острых заболеваниях респираторного тракта.
Забор жидкости происходит из бронхов, бронхиол и альвеол пациента, таким образом, врач получает полную информацию о функционировании бронхов и легких.
Большая часть болезней нижних дыхательных путей имеет довольно схожую симптоматику. Только по данным физикального обследования (прослушивание легких, осмотр пациента) врач не может поставить точный диагноз. Рентгенография легких позволяет выявить воспаление бронхов, оценить степень поражения, но выяснить, какой природы патологический процесс, с ее помощью не представляется возможным.
Следовательно, БАЛ дает возможность разграничить инфекционную, аллергическую и опухолевую проблемы. Также метод крайне информативен при длительных инфекционных бронхитах, поскольку позволяет сразу подобрать подходящий препарат (антибиотик), который будет максимально эффективно воздействовать на возбудителя (как правило, на момент исследования животное уже лечилось несколькими препаратами).
Заболевания, при которых показано проведение БАЛ:
- хронический бронхит собак и кошек (бактериальной, паразитарной природы);
- эозинофильная бронхопневмония собак;
- астма кошек;
- пневмония;
- опухолевое повреждение бронхов, легких.
Симптомы непроходимости дыхательных путей
Основные симптомы при коллапсе, воспалении дыхательных путей:- хронический непродуктивный кашель;
- удушье;
- одышка;
- цианоз слизистых (синий цвет слизистых);
- непереносимость нагрузок;
- вялость.
Техника проведения бронхоальвеолярного лаважа

Исследование проводится только под общей анестезией, занимает немного времени (порядка 10 минут). Является абсолютно безболезненной процедурой, хотя некоторые животные могут испытывать небольшой дискомфорт после забора смывов. Как правило, клиническая картина заболевания после БАЛ улучшается (интенсивность кашля снижается, дыхание становится значительно лучше).
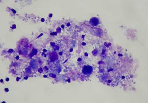
Образцы, полученные при смыве, характеризуются хорошим качеством, цитологическая оценка отличается высокой точностью. В норме у пациентов в образце смыва должны преобладать альвеолярные макрофаги. При бронхиальной астме и паразитарных бронхитах выражена эозинофилия, при инфекционных бронхитах – нейтрофилия. При опухолевом процессе можно обнаружить неопластические клетки.
Стерильный раствор заливается в расчете 0,5 мл на кг веса пациента и немедленно аспирируется назад. Хорошим результатом является получение 50% объема обратно. Оставшаяся часть быстро всасывается слизистой дыхательных путей.
В течение
Пациент очень быстро приходит в себя и возвращается владельцу в тот же день.
Результаты цитологического и микробиологического исследований готовятся в течение
Бронхоальвеолярный лаваж является очень информативным исследованием, позволяющим точно поставить диагноз и быстро подобрать оптимальное лечение вашему питомцу.
Варшавское шоссе, 125 стр.1. тел. 8 (499) 372-27-37
Почитайте отзывы о нашем ветеринарном центре.
Позвоните по номеру 8 (495) 241 64 95 и запишитесь на консультацию прямо сейчас.
(с) Ветеринарный центр лечения и реабилитации животных «Зooстатус».
Варшавское шоссе, 125 стр.1.

