Общий клинический анализ крови у кошек
Как при проведении диспансеризации, первичного осмотра заболевшего питомца, так и в процессе лечения общий клинический анализ (ОКА) крови является одним из обязательных и важнейших лабораторных исследований. Он позволяет произвести первичную диагностику заболевания, оценку тяжести состояния животного, прогнозировать течение и развитие болезни, скорректировать данные клинического осмотра.
Забор крови для этого исследования производят из вены, соблюдая обычные правила антисептики и асептики. Образец берут в специальную пробирку, которая уже содержит антикоагулянт (вещество, препятствующее свертыванию крови). Пробирка с кровью плотно закрывается, подписывается и либо без промедления направляется на исследование, либо помещается в холодильник. Срок хранения пробирки с кровью в холодильнике – не более суток.
Исходя из полученных результатов, специалист может оценить количество, недостаток или избыток форменных элементов крови, их процентные соотношения, высчитать некоторые косвенные показатели, которые важны для диагностики. Врач получает информацию о наличии инфекций, состоянии иммунной системы, вероятности скрытого кровотечения, работе костного мозга. После получения результатов анализов специалист скорректирует лечебный план, назначат дальнейшие обследования. На протяжении всего лечения ОКА крови будет проводиться повторно в обязательном порядке, поскольку необходимо отслеживать изменения в динамике.
Основные показатели общего анализа крови у кошек

Гематокрит – этот показатель отражает отношение общего объема эритроцитов к объему плазмы крови. Выражается в процентах.
Норма для кошек –
Гемоглобин – это железосодержащий белок эритроцитов, обеспечивающий транспорт кислорода и углекислого газа.
Норма для кошек –
Эритроциты – это не имеющие ядер клетки крови, которые содержат гемоглобин и выполняют важнейшую транспортную функцию.
Норма для кошек –
Средняя концентрация гемоглобина в эритроците (МСНС) – этот показатель определяет насыщенность гемоглобином эритроцитов.
Норма для кошек –
Среднее содержание гемоглобина в эритроците (МСН) – этот показатель, в совокупности с MCHC и MCV, позволяет судить о причинах анемии.
Норма для кошек – 13/18.
Средний объем эритроцита (МСV) – этот показатель также характеризует тип анемии.
Норма для кошек –
Скорость оседания эритроцитов (СОЭ) – это показатель, отражающий дисбаланс белков крови, который появляется в результате заболевания. Самые интенсивные повышения СОЭ бывают при злокачественных новообразованиях.
Норма для кошек –
Ретикулоциты – предшественники эритроцитов. Их превращение в зрелые эритроциты происходит в кровяном русле за
В норме их около 1%.
Тромбоциты (кровяные пластинки) – это не имеющие ядра элементы крови, которые выполняют функцию свертывания крови, осуществляя остановку кровотечений.
Норма для кошек –
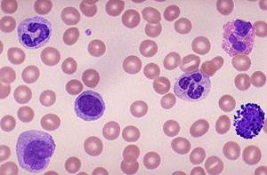
Лейкоциты – это неокрашенные кровяные клетки (поэтому их называют белыми), отвечающие за выполнение функций иммунной системы. Значительное увеличение их числа возникает при острых гнойных воспалениях, злокачественных заболеваниях крови (лейкозах).
Норма для кошек –
Лейкоцитарная формула (лейкограмма)– процентное соотношение различных видов лейкоцитов
Нейтрофилы – это лейкоциты, которые отвечают за уничтожение инфекционных (преимущественно бактериальных) агентов, за формирование реакций воспаления, неспецифический иммунитет, уничтожение собственных погибших или поврежденных клеток. По форме ядра можно судить о возрасте нейтрофила, о том, сколько он уже находится в кровяном русле. У молодых нейтрофилов (палочкоядерных) ядро имеет бобовидную форму, у зрелых (сегментоядерных) ядро сегментированное. По повышению доли молодых нейтрофилов можно сделать вывод о степени и серьезности воспалительной реакции.
Норма нейтрофилов от общего числа лейкоцитов
Эозинофилы – это клетки, которые участвуют в аллергических реакциях, обеспечивают противопаразитарный иммунитет.
В норме их
Базофилы – этот вид лейкоцитов в анализе крови встречаются достаточно редко. Они участвуют в аллергических реакциях гиперчувствительности немедленного типа (анафилактический шок).
Обычно базофилов в лейкограмме
Лимфоциты – основные клетки иммунной системы. Они обеспечивают специфически иммунитет, синтезируют иммуноглобулины (антитела), уничтожают собственные мутировавшие клетки.
Норма от общего числа лейкоцитов –
Моноциты – тканевые макрофаги – это самые крупные лейкоциты, которые из крови довольно быстро мигрируют в ткани, где и находятся большую часть жизни. Они окончательно уничтожают очаги воспаления, чужеродные клетки и белки, собственные разрушенные ткани. Это важнейшие клетки иммунной системы, которые первыми встречают антиген и представляют его лимфоцитам для формирования полноценного иммунного ответа.
Норма моноцитов в лейкограмме –
Почитайте отзывы о нашем ветеринарном центре.
Позвоните по номеру 8 (495) 241 64 95 и запишитесь на консультацию прямо сейчас.
(с) Ветеринарный центр лечения и реабилитации животных «Зooстатус».
Варшавское шоссе, 125 стр.1.

