Артроз у собак
Симптомы артроза у собак

Диагностика
Лечение артроза у собак
Причины артроза
Артроз у собак – это самое распространенное заболевание суставов у собак. Понятие подразумевает так называемый дегенеративный патологический процесс, требующий лечения.
Во всех местах, где поверхности сустава соприкасаются и не конгруэнтны (не полностью совпадают друг с другом так, чтобы это соответствовало анатомической норме), сильно изнашивается их покрытие (суставной хрящ). Артроз может поражать любой сустав, часто он возникает как следствие, например, травмы, перелома или анатомического несоответствия суставных поверхностей.
Симптомы артроза у собаки
Признаком артроза служит хромота, особенно заметная после периода покоя (отдыха) животного, когда оно начинает двигаться. Если физическая нагрузка на животное велика, хромота после отдыха становится все заметнее. У многих собак не проявляется яркой хромоты, но они начинают двигаться неохотно. Например, такое может быть в случае, если затронуто несколько суставов и меньшая нагрузка на одну лапу усиливает боль в других. Необходимо внимательно обследовать животное, так как собака может не проявлять явных признаков болезни.
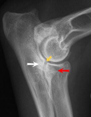
Диагностика
Диагноз ставится на основании клинических признаков и рентгенографического исследования. Следует сделать рентген и противоположной симметричной конечности (например, при хромоте на правую переднюю лапу нужно сделать рентген и левой передней лапы). Кроме того, все снимки рекомендуется выполнять в двух проекциях (прямой и боковой). Одной проекции (в положении на спине), как правило, достаточно только в случае поражения тазобедренного сустава, однако исследование должно проводиться под седацией или легким наркозом, чтобы животное позволяло в положении лежа на спине держать конечности строго параллельно и мышцы, удерживающие сустав, были расслаблены.
Лечение артрозов

Дегенеративные заболевания суставов не лечатся, но можно затормозить их прогрессирование, снять болевые ощущения и компенсировать работу больного сустава (или больных суставов) посредством укрепления мышц. Для лечения артрозов используются: обезболивающие средства, физиотерапия, акупунктура, применение определенных кормовых добавок. Существуют готовые промышленные корма, которые содержат перечисленные добавки, а также антиоксиданты (они помогают предотвратить дальнейшее развитие артроза).
Обезболивающие препараты не только снимают симптом боли, но и предотвращают развитие воспаления сустава, когда суставная жидкость становится неоднородной и не может выполнять роль смазки между суставными поверхностями, а наоборот, превращает их в подобие наждачной бумаги. От обезболивающих препаратов можно отказаться, но это скажется не лучшим образом на развитии болезни и состоянии животного.
Причины артроза

Как упоминалось выше, артрозы возникают при неполном совпадении суставных поверхностей. Иногда такие дефектные (диспластические) суставы бывают врожденными, некоторые породы собак имеют генетическую предрасположенность к ним. Наиболее распространенные генетически обусловленные причины - дисплазия тазобедренных и локтевых суставов.
При дисплазии тазобедренных суставов (ДТБС) поверхности тазобедренного сустава не соответствуют друг другу. Этому заболеванию подвержены все собаки крупных пород, особенно немецкая овчарка, золотистый ретривер, лабрадор-ретривер, боксер.
ДТБС не лечится до конца, но можно снизить влияние дефекта на самочувствие животного, при этом следует строго контролировать вес животного и нагрузку на тазобедренные суставы, например, ограничить прыжки и подъем по лестнице. Следует укреплять окружающую суставы мускулатуру посредством легкой физической нагрузки: бег небыстрой рысью, плавание и ходьба в воде (этим целям отлично отвечает водная беговая дорожка). В сложных случаях показана хирургическая операция, имеется множество методов коррекции, которые необходимо обсудить с ветеринарным врачом - специалистом (ортопедом).
Дисплазия локтевых суставов (ДЛС) часто свойственна таким породам, как лабрадор-ретривер, бернский зенненхунд, немецкая овчарка, золотистый ретривер, ротвейлер, веймаранер и мастиф, но риск заболевания существует у собак и других крупных пород. Эта предрасположенность объясняется тем, что у крупных собак сустав состоит из многих костей и полностью формируется только к концу роста собаки: у крупных собак около 1,5 лет, у очень крупных – около 2 лет.
Если к наследственному дефекту в период роста организма добавляется еще и травма, риск развития различных типов дисплазии локтевого сустава очень велик (фрагментация крючковидного отростка, фрагментация медиального венечного отростка (внутренний венечный отросток), расслаивающий остеохондрит, медиальный компартмент синдром).
При этом «травма» означает не только реальные (видимые) травмы, но и маленькие ежедневные перегрузки сустава: хождение по лестнице, слишком быстрый набор веса, толчковые нагрузки (прыжки).
При появлении хромоты на грудную конечность, особенно у молодых животных, следует срочно обратиться к ветеринарному врачу. Если дисплазия локтевого сустава связана с одной из перечисленных патологий, правильные действия врача и владельца животного – это единственное средство, чтобы не допустить развития артроза у собаки. Если образовалась так называемая «суставная мышь» (фрагмент, свободно лежащий в суставной щели), то необходима операция. Сегодня эта операция выполняется специалистами с помощью артроскопии, с минимальным повреждением тканей.
Варшавское шоссе, 125 стр.1. тел. 8 (499) 372-27-37
Почитайте отзывы о нашем ветеринарном центре.
Позвоните по номеру 8 (495) 241 64 95 и запишитесь на консультацию прямо сейчас.
(с) Ветеринарный центр лечения и реабилитации животных «Зooстатус».
Варшавское шоссе, 125 стр.1.

