Болезнь Пертеса у собак

Болезнь Легга-Кальве-Пертеса (болезнь Пертеса у собак) - асептический некроз головки бедренной кости. Другими словами, это заболевание характеризуется нарушением нормального кровообращения в головке бедра, что приводит к постепенному отмиранию здоровой ткани, разрушению и воспалению без присоединения какой-либо бактериальной флоры.
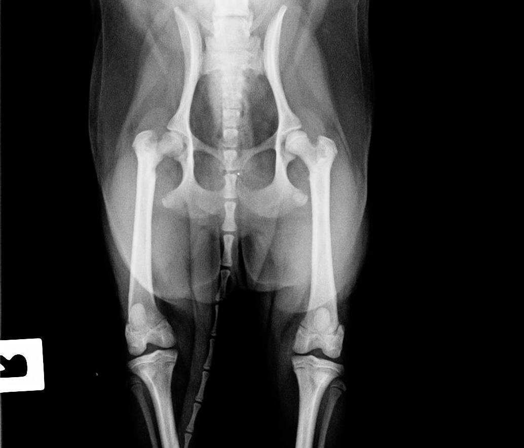
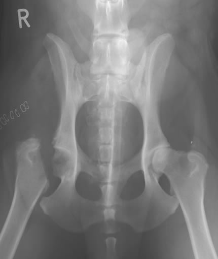
Болезнь Пертеса у собак связана с разрушением головки бедренной кости. В условиях недостаточного кровоснабжения эпифиз бедренной кости (головка бедра) окостеневает, становится хрупким, и происходит патологический перелом. Предполагается, что закупорка сосудов, идущих через шейку бедра к хрящу головки, происходит у щенков в раннем возрасте, однако клиническая симптоматика проявляется в возрасте 6-12 месяцев, когда недостаток кровоснабжения и питания хряща уже приводит к некрозу (отмиранию) тканей головки бедра.
Чаще поражена одна конечность, и только в 12-15% случаев поражение имеет двусторонний характер. Заболевание встречается у собак обоих полов, но чаще у кобелей.
Наблюдается выраженная породная предрасположенность у пород той-группы (карликовых) - йоркширский терьер, бивер, мальтезе, той-терьеры, цвергпинчер, левретка, померанский шпиц. Встречается и у других миниатюрных пород, например, у джек расселов, французских бульдогов, пекинесов.
Симптомы
Клинические признаки зависят от стадии болезни.
Первая стадия, или стадия скрытого течения
На этой стадии внешние проявления обычно незначительные - слабо выраженная хромота, боль, быстро проходящая после периода покоя.
В костной ткани головки бедра постепенно развивается некроз губчатого вещества кости и костного мозга. При этом хрящевая ткань, покрывающая головку бедра, остается сохранной.
Вторая стадия, или стадия импресионного перелома

Когда головка бедра некротизирована, она становится хрупкой, и в результате любой нормальной нагрузки происходит субхондральный (подхрящевой) перелом, впоследствие головка бедра уплощается из-за того, что часть кости “вдавливается”. Внешне это проявляется в хромоте - собака еще опирается на пораженную конечность при движении, но не переносит на нее весь вес тела.
Третья стадия, или стадия резорбции (рассасывания)
Некротизированные участки под влиянием здоровых окружающих тканей рассасываются (резорбируют), и в отмерших областях начинается восстановление здоровой соединительной ткани. На этой стадии собака полностью теряет опороспособность на больной лапе.
Четвертая стадия, или стадия восстановления
Некротизированные участки полностью заменяются здоровой костной тканью, однако деформированная головка бедра уже не восстанавливается. Сустав болезненнен, начинает уменьшаться мышечная масса, суставы и связки теряют подвижность.
Пятая стадия, или конечная стадия
Шейка бедра деформирована, утолщена. Пораженная конечность укорачивается в длину, наблюдается атрофия мышц. Собака обычно уже не испытывает боли, но конечность значительно утрачивает функциональность, наблюдается укорачивание мышц и связок. Самопроизвольное восстановление опороспособности практически невозможно.
Диагностика
Диагноз ставится врачом-ортопедом, на основании клинической картины, данных анамнеза и рентгенографического исследования.
Болезнь Пертеса у собак следует отличать от других заболеваний со схожими внешними симптомами - вывихом коленной чашечки, дисплазии тазобедренного сустава.
Лечение

Методом выбора при лечении болезни Пертеса является хирургическая резекция (удаление) головки бедра, верно и своевременно проведенное вмешательство дает полное выздоровление собаки, обеспечивает безболезненность и восстановление функциональной способности конечности.
Физиотерапия
Физиотерапия показана для восстановления в послеоперационном периоде и при подготовке к хирургическому лечению. Физиотерапевтическая реабилитация направлена на:
- Ускорение восстановления больной конечности
- Уменьшение боли и ускорение заживление поврежденных тканей
- Предотвращение дальнейшей атрофии мышц вследствие бездействия
- Восстановление нормального диапазона движений
- Снижение вероятности дальнейших компенсационных изменений (“привычки” собаки к неиспользованию конечности).
(с) Ветеринарный центр лечения и реабилитации животных "Зоостатус".
Варшавское шоссе, 125 стр.1. тел. 8 (499) 372-27-37
Варшавское шоссе, 125 стр.1. тел. 8 (499) 372-27-37
Почитайте отзывы о нашем ветеринарном центре.
Позвоните по номеру 8 (495) 241 64 95 и запишитесь на консультацию прямо сейчас.
(с) Ветеринарный центр лечения и реабилитации животных «Зooстатус».
Варшавское шоссе, 125 стр.1.

