Дисплазия тазобедренных суставов у кошек
Клинические проявления дисплазии

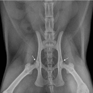
Диагностика
Лечение
До недавнего времени считалось, что кошки не подвержены дисплазии тазобедренных суставов (ДТБС). Это заболевание широко распространено среди многих пород собак как наследственная аномалия. По новым сведениям, оказалось, что эта болезнь встречается и у кошек и чаще всего также наследуется. Развитие дисплазии у кошки или собаки зависит не от одного гена, а от целого комплекса генетических факторов. Если у собаки или кошки обнаружена дисплазия, значит, один из родителей животного также является носителем этого заболевания.
Термин «дисплазия» обозначает аномальное развитие тканей. Тазобедренный сустав состоит из выпуклой и вогнутой поверхностей. Выпуклая поверхность – это верхушка бедренной кости (головка), которая вставлена в углубление, образованное в костях таза, которое называется вертлужной впадиной. В нормально развитом суставе головка бедренной кости полностью совпадает с вертлужной впадиной, поэтому сустав работает плавно и эффективно. Крупные мышцы бедра и таза помогают удерживать сустав на месте и обеспечивают его правильную работу.
При дисплазии составные части тазобедренного сустава сформированы неправильно, поэтому головка бедренной кости не совпадает с вертлужной впадиной. Это приводит к тому, что головка становится более подвижной по отношению к суставу. Со временем эта аномальная подвижность и дегенерация сустава приводят к хроническим изменениям в костях ТБС. В большинстве случаев бывают поражены оба тазобедренных сустава, хотя один из них может страдать сильнее, чем другой.
КЛИНИЧЕСКОЕ ПРОЯВЛЕНИЕ ДИСПЛАЗИИ

У многих кошек ДТБС остается незамеченной в течение всей жизни. Они могут не проявлять признаков дисплазии в силу своего небольшого размера и того, что физическая нагрузка у кошек не такая интенсивная, как у собак, в пределах их естественной активности. У некоторых кошек дисплазию находят случайно при рентгеновском исследовании по другим причинам. Это заболевание нельзя диагностировать при рождении, только по мере роста котенка.
У некоторых кошек с ДТБС, особенно у кошек с тяжелым течением болезни, проявляются явные симптомы и болезненность. Эти кошки выглядят напряженными во время движения, неохотно прыгают и лазают. Время от времени они хромают. В некоторых случаях симптомы начинают проявляться после травмы, например, после падения. При проявлении у животного клинических признаков, похожих на ДТБС, необходимо уточнить диагноз с помощью рентгеновского исследования тазобедренных суставов. Ветеринарный врач может распознать разные вариации аномалий в тазобедренных суставах, связанные с дисплазией. В некоторых случаях сустав бывает частично или полностью подвывихнут.
Как и у собак, к дисплазии предрасположены крупные породы кошек с тяжелыми костями, например, персидская и
Диагностика ДТБС
Заводчики собак во избежание дисплазии тазобедренных суставов выполняют длительную скрининговую проверку животных и только потом включают их в программу разведения. У кошек в возрасте до двух лет можно только предварительно оценить заболевание, окончательный диагноз ставится уже по достижении кошкой этого возраста. Исследование проводится с помощью рентгена и требует седации для того, чтобы достичь расслабления мышц и обеспечить правильную укладку.
Лечение ДТБС
Как замечено ранее, многие кошки с ДТБС не испытывают никакого дискомфорта. Если у кошки с таким диагнозом имеется лишний вес, то регуляция ее веса снизит проявление дискомфорта. Для кошек с явным клиническим проявлением ДТБС (хромота, боль) используется медикаментозное лечение.
Ветеринарные врачи назначают противовоспалительные и обезболивающие препараты, а также кормовые добавки для восстановления сустава. Ограничение нагрузок (например, ограничение выхода животного на улицу или прыжков в высоту) также помогут лечению. В тяжелых случаях используется хирургическое удаление головки и шейки бедренной кости, при этом иссекаются поврежденные ткани сустава. После этой операции сустав снова начинает правильно работать, у кошек проходит боль и дискомфорт, как только закончится период послеоперационного восстановления.
В качестве меры по снижению веса и способа безмедикаментозного лечения дисплазии ТБС у кошек, как и у собак, используются методы физической реабилитации. Реабилитация также показана для восстановления амплитуды движений и формирования мышечного каркаса в послеоперационном периоде.
Варшавское шоссе, 125 стр.1. тел. 8 (499) 372-27-37
Почитайте отзывы о нашем ветеринарном центре.
Позвоните по номеру 8 (495) 241 64 95 и запишитесь на консультацию прямо сейчас.
(с) Ветеринарный центр лечения и реабилитации животных «Зooстатус».
Варшавское шоссе, 125 стр.1.

