ГКМП (Гипертрофическая кардиомиопатия) кошек

Наследственная и приобретенная форма ГКМП
Развитие ГКМП кошек
Диагностика
Течение заболевания и прогноз
Профилактика ГКМП кошек и скриннинговые исследования
Кардиомиопатии – это структурные или функциональные изменения сердечной мышцы (миокарда).
ГКМП (гипретрофическая кардиомиопатия) чаще всего встречается у кошек и характеризуется утолщением (гипертрофией) сердечной мышцы левого желудочка. Это достаточно распространенный тип кардиопатологии – он составляет 65% от всех кардиомиопатий.
Наследственная и приобретенная форма ГКМП
ГКМП может быть первичной (генетически обусловленной) или вторичной (приобретенной). Наследственную предрасположенность выделяют у британских и шотландских кошек, регдоллов, сфинксов, норвежских лесных,
Вторичная ГКМП развивается у кошек старше 7 лет, страдающих заболеваниями, которые сопровождает повышенное артериальное давление. К ним относят системную артериальную гипертензию, хроническую почечную недостаточность, сахарный диабет, гипертиреоз кошек и т.д.
Развитие ГКМП кошек
При ГКМП происходит утолщение стенок желудочка, объем его уменьшается, поэтому больше крови скапливается в левом предсердии, оно увеличивается в размере. Но, так как левое предсердие не может растягиваться бесконечно, происходит увеличение давления в левом предсердии и восходящий застой крови в легочных венах. До некоторых пор это состояние может быть компенсировано (сердце выполняет свою работу, хотя ему “трудно”), но в определенный момент может развиться отек легких. Также в расширенных предсердиях часто формируются тромбы.Как правило, владельцы обращаются к врачу только тогда, когда развиваются симптомы сердечной недостаточности: одышка, дыхание с открытым ртом, непереносимость физических нагрузок, или собственно отек легких (часто это необследованные кошки после операции, в т.ч. кастрации, под общей анестезией, развитие симптомов происходит на
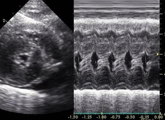
Диагностика
Кошки с выраженными симптомами сердечной патологии проходят полное кардиологическое обследование, во время которого доктор проводит клинический осмотр животного (оценка слизистых и пульса, аускультация сердца), делает ЭХОКГ (УЗИ сердца), ЭКГ, рентгенографию органов грудной клетки, измерение артериального давления.
На рентгенограмме грудной клетки выявляются характерные осложнения ГКМП (плевральный выпот, отек легких и т.д.).
Во время ЭХОКГ оценивают толщину межжелудочковой перегородки или задней стенки левого желудочка. Гипертрофия может быть симметричной – утолщены межжелудочковая перегородка (более 6 мм) и задняя стенка левого желудочка, либо асимметричной – утолщена межжелудочковая перегородка, или задняя стенка левого желудочка, увеличение в размере левого предсердия – более 1,6 мм, и нарушение расслабления левого желудочка.
При ЭКГ исследовании у многих кошек регистрируют различные аритмии (тахикардии, экстрасистолы, блокады), которые могут осложнять течение болезни.
Измерение артериального давления происходит с помощью специального прибора (ветеринарного осциллографического тонометра) или при офтальмоскопии (осмотр глазного дна). Оценка состояния внутриглазных сосудов и обнаружение определенных изменений (у кошек с системной гипертензией сосуды глаза становятся извитыми и расширенными) позволяет судит ь о длительной хронической гипертензии. Недостатком этого метода является тот факт, что при офтальмоскопии нельзя установить количественные показатели.
Прибор, измеряющий давление (тонометр) позволяет получить количественные показатели. Говорить о системной артериальной гипертензии можно, если систолическое давление больше 160 мм.рт.сб, а диастолическое больше 100 мм.рт.сб.
Показатели измерений могут быть неточными, если животное находится в стрессе, поэтому очень важно выполнять следующие правила: измерять давление в конце приема, измерять несколько раз, в присутствии хозяина, в тихом помещении и при приглушенном свете. Так же очень важен правильный подбор манжеты. Диагноз подтверждают при двух визитах и двух последовательных многократных изменениях.
У возрастных кошек с вторичной ГКМП для выявления причины берут анализ на гормоны щитовидной железы для исключения гипертиреоза, биохимический анализ крови, особенно на почечные показатели и уровень глюкозы, анализ мочи для выявления микропротеинурии (содержание белков определенной фракции в моче), характерной для почечной недостаточности.
Течение заболевания и прогноз
Течение болезни и прогноз зависит от увеличения массы миокарда.
Наиболее опасным осложнением ГКМП кошек, помимо отека легких, является тромбоэмболия. У кошек развивается внезапный парез тазовых конечностей, отсутствие на них чувствительности и пульса, проявляется цианотичный (синий) оттенок подушечек пальцев. Если тромбоз частичный, то пульс может присутствовать. Это состояние сопровождается значительным болевым синдромом и вокализацией, и является плохим прогностическим признаком. Тромбоз брюшного отдела аорты встречается в 70% случаев, тазовых конечностей в 12%, грудных конечностей 14%.
Факторами риска являются сильное увеличенное левое предсердие, стаз кровотока (например, при фибрилляции предсердий, когда нет адекватного выброса крови). Однако тромбоэмболия может развиться и с более легкой формой заболевания.
Если симптом тромбоэмболии у кошки более 5 часов, то прогноз плохой, если
Профилактика ГКМП кошек и скриннинговые исследования
Ветеринарные врачи рекомендуют владельцам кошек пород, предрасположенных к ГКМП, делать ежегодное скрининговое обследование сердца (
Кошкам, у которых выявлено заболевание, но течение бессимптомно, назначают препараты с антиагрегантным действием для профилактики тромбообразования и препараты, улучшающие расслабление миокарда. Кошкам с клиническими симптомами обязательно добавляют диуретики, при наличии аритмий – противоаритмические препараты.
Пожалуйста, помните, что своевременно проведенное обследование животного помогает выявить ГКМП до появления клинических признаков, своевременно назначить лечение и тем самым улучшить прогноз и увеличить продолжительность жизни вашего питомца.
Варшавское шоссе, 125 стр.1. тел. 8 (499) 372-27-37
Почитайте отзывы о нашем ветеринарном центре.
Позвоните по номеру 8 (495) 241 64 95 и запишитесь на консультацию прямо сейчас.
(с) Ветеринарный центр лечения и реабилитации животных «Зooстатус».
Варшавское шоссе, 125 стр.1.

