Холецистит у кошек

Лечение
Профилактические меры
Холецистит у кошек (лат. Cholecystitis) это хроническое или острое воспалительное заболевание желчного пузыря.
Желчный пузырь – орган грушевидной формы, в котором накапливается желчь, вырабатываемая печенью. В процессе переваривания пищи желчь выбрасывается в кишечник, где она способствует всасыванию жиров и стимулирует моторику тонкого отдела кишечника. В состав желчи входят желчные кислоты, желчные пигменты (билирубин), фосфолипиды, холестерин. Часть желчных кислот выводится вместе с калом, а часть всасывается в кровь и возвращается обратно в печень, где вновь включается в состав желчи.
Холецистит у кошек может протекать в острой и хронической форме.
При острой форме холецистита заболевание развивается внезапно и быстро прогрессирует.
Причинами возникновения острого холецистита могут послужить:
- непроходимость желчного протока, вызванная желчным камнем, новообразованием печени, кишечника, поджелудочной железы, мукоцеле,
- инфекции бактериальной природы,
- паразиты – печеночная двуустка, лямблии,
- травмы, сопровождающиеся разрывом желчного пузыря.
Симптомы, указывающие на то, что у вашей кошки острый приступ холецистита:
- тошнота и рвота желчью;
- отказ животного от пищи;
- быстрая потеря массы тела;
- повышенная температура тела;
- общая слабость;
- болезненность в области печени при пальпации;
- возможно пожелтение слизистых, обесцвечивание кала.
Часто симптомы неспецифичны, что затрудняет диагностику заболевания на ранних стадиях.
Значительное ухудшение состояния животного, “острый живот”, падение температуры тела, частое поверхностное дыхание, бледные десны – могут являться признаками разрыва желчного пузыря. Вследствие этого развивается желчный перитонит – смертельно опасное осложнение. Такие симптомы всегда говорят о необходимости экстренно доставить питомца в ветеринарную клинику.
Хронический холецистит.
Может протекать незаметно в течение долгого времени и обнаруживаться случайно в ходе обследования животного. В случае отсутствия лечения острого холецистита он также может переходить в хроническую форму.
Симптомы:
- периодическая тошнота, особенно после еды;
- снижение аппетита;
- потеря веса;
- расстройство пищеварения, проявляющееся чередованием поноса и запора;
При хроническом холецистите возможно бессимптомное течение болезни.
Развитию холецистита способствуют:
- заболевания
желудочно-кишечного тракта, при которых снижается секреторная деятельность желудка; - нерациональное питание (перекармливание, недостаток белка);
- повреждения желчного пузыря и печени;
Основные возбудители – болезнетворные микроорганизмы: стрептококки, энтерококки, стафилококки, кишечная палочка, попадающие из кишечника или отдаленных очагов инфекции в желчный пузырь.
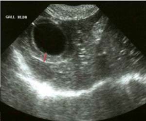
Диагностика
Холецистит у кошек не имеет определенных специфических клинических признаков, поэтому для установления диагноза необходим общий и биохимический анализы крови, анализ мочи, ультразвуковое исследование печени и желчного пузыря. В случае образования камней в желчном пузыре они могут быть видны на рентгенограмме брюшной полости. При выявлении изменения стенки желчного пузыря и неоднородности желчи при ультразвуковом исследовании рекомендуется тонкоигольная биопсия желчного пузыря с последующим цитологическим и микробиологическим исследованием полученной желчи.
Лечение

При подозрении на разрыв желчного пузыря, и желчный перитонит проводится лапаротомия. Также хирургическое лечение требуется в случае не поддающегося терапевтическому лечению холецистита, обструкции желчного протока.
Однако, чаще всего, бывает достаточно применения терапевтических средств.
Одним из важнейших лечебных факторов является диета. Отлично подходят промышленные лечебные корма для животных с болезнями печени. Диета должна соблюдаться строго, и не меньше двух недель. Врач может внести поправки и в дальнейший рацион животного.
Обязательно назначается антибиотикотерапия, в идеале – подобранная по результатам микробиологического исследования желчи. Даже в случае отсутствия патогенной микрофлоры в образце желчи, антибиотики необходимы для профилактики вторичной инфекции. Длительность применения антибиотиков зависит от тяжести заболевания.
Для улучшения оттока желчи назначается желчегонное средство.
При необходимости назначаются спазмолитики, инфузионная терапия, ферментные препараты.
Профилактические меры

Чтобы снизить риск развития холецистита у кошек, необходимо придерживаться нескольких простых правил, которые помогут вашему питомцу оставаться здоровым долгие годы.
- Кошка нуждается в рациональном сбалансированном питании.
- Необходимо регулярно проводить дегельминтизацию питомца.
- Обязательно во время вакцинировать кошку.
- Токсичные вещества: бытовую химию и прочие химические средства стоит хранить в недоступных для кошек местах.
Варшавское шоссе, 125 стр.1. тел. 8 (499) 372-27-37
Почитайте отзывы о нашем ветеринарном центре.
Позвоните по номеру 8 (495) 241 64 95 и запишитесь на консультацию прямо сейчас.
(с) Ветеринарный центр лечения и реабилитации животных «Зooстатус».
Варшавское шоссе, 125 стр.1.

