Остеосаркома у собак

Остеосаркома является наиболее распространенной первичной опухолью костей у собак. На ее долю приходится до 85% всех злокачественных опухолей, развивающихся в скелете.
Предрасположенность к развитию остеосаркомы
Чаще всего развитие опухоли происходит в среднем возрасте и у старых собак (средний возраст 7 лет). Первичные образования могут появляются и у более молодых собак, со средним возрастом от 4,5 до 5,4 лет. Крупные породы имеют более высокую склонность к болезни. Такие породы как немецкий дог, ирландский сеттер, доберман, ротвейлер, немецкая овчарка и золотистый ретривер особенно подвержены риску возникновения остеосаркомы из-за их размера и веса. Интактные (некастрированные) самцы и самки также особо предрасположены к развитию заболевания.
Остеогенная саркома может появиться в любой кости, но конечности составляют 75%-85% от всех поражений. Остальные поражения затрагивают осевой скелет, включающий верхнюю челюсть, нижнюю челюсть, позвоночный столб, череп, ребра, полость носа, околоносовые пазухи и таз. Внескелетная остеосаркома встречается редко, но бывают случаи ее возникновения в грудной клетке, в подкожной клетчатке, селезенке, кишечнике, печени, почках, яичке, влагалище, глазах, желудке, связках, синовиальной оболочке, и надпочечниках. Остеосаркома развивается глубоко в кости и может стать мучительно болезненной, поскольку она растет наружу, и кость разрушается изнутри.
Причины
Точные причины остеогенной саркомы неизвестны. Но такие факторы как атомная радиация, химические канцерогенные вещества, инородные тела, (включая металлические имплантаты, внутренние фиксаторы, пули и костные трансплантаты), и другие существующие скелетные аномалии, такие как сросшиеся переломы, иногда приводят к остеосарокме. Это также связано с хроническим остеомиелитом и переломами, при которых не использовалась никакая внутренняя репарация. Остеогенная саркома была замечена у собак с костными инфарктами. Наследственные факторы тоже могут вызывать развитие опухолей (у собак с остеогенной саркомой находили аберрации p53 гена-супрессора опухоли).
Симптомы
У собаки возникает отчетливая хромота и опухоль в месте образования остеосаркомы. В некоторых случаях появлению хромоты предшествовала травма. Появляется видимая боль из-за микропереломов или разрушения надкостницы. Собака может быть подвержена частым (патологическим) переломам.
Симптомы, связанными с осевой скелетной остеосаркомой, зависят от места ее образования. Они варьируются от местного набухания, с хромотой или без, до дисфагии (трудность в глотании), экзофтальма (выпирание глаза из глазницы), боли при открытии рта (если поражены задние челюстные или орбитальные области), лицевой деформации и гиперестезии (увеличение чувствительности к стимулам), с или без неврологических симптомов.
Боль может вызвать другие проблемы, такие как раздражительность, агрессия, потеря аппетита, потеря веса, поскуливание, бессонница и нежелание ативно двигаться.
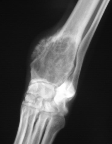
Диагностика
Первый шаг - рентген. Особые положения для снимков могут быть критическими для обнаружения опухолей, появляющихся в местах, отличных от аппендикулярного скелета. Ректальный осмотр является также очень важным, при этом особое внимание уделяется мочеполовой системе, чтобы исключить наличие первичной опухоли.
Биопсия обязательна, потому что в начальных стадиях опухолевые клетки сложно обнаружить на снимках. Другой возможной причиной могут быть грибковые инфекции кости, симптомы которых подобны остеосаркоме. Биопсия кости может быть выполнена открытым способом, закрытым или с помощью иглы. Преимущество открытого метода состоит в том, что может быть изъято большое количество материала, который сделает гистопатологический диагноз более точным.
Очень важно понять, насколько метастазировала опухоль. Поэтому цитология тонкой иглой выполняется на любом увеличенном узле для определения степени распространения болезни. Места костного метастаза могут быть обнаружены при тщательном ортопедическом осмотре с пальпацией длинных костей и доступного осевого скелета.
Органомегалия (патологическое увеличение органов) может диагностироваться пальпацией брюшной полости. Выслушивание грудной клетки важно для обнаружения нарушений со стороны легких.
Передовые технологии визуальной диагностики, такие как компьютерная томография и магнитно-резонансная томография могут играть важную роль в определении стадии развития болезни и используются для обследования на легочные метастазы и на то, насколько значительно опухоль кровоснабжается (васкуляризаия).
Рентгеновское обследование костей может быть полезным методом для обнаружения и локализации костных метастазов у собак.
Лечение

Ампутация поврежденной конечности является стандартным лечением остеогенной саркомы собак. Для поражений передней конечности обычно рекомендуется полная ампутация, так же, как и при поражении задней конечности рекомендуется экзартикуляция в тазобедренном суставе. Ампутация полностью устраняет болезнь. Для поражений бедренной кости, рекомендуется полная ампутация и иссечение сустава (вертлужной впадины).
Органосохраняющая хирургия - хирургия, заменяющая больную кость и восстанавливающая функциональную конечность при помощи металлического имплантата, костного трансплантата (аллотрансплантат) или комбинация костного трансплантата и металлического имплантата (протезное соединение).
Большинство собак лечится ампутацией, но в определенных случаях, когда собака страдает от тяжелых существующих ранее неврологических и ортопедических болезней, сохранение конечности предпочтительнее ампутации. Вероятными кандидатами на органосохраняющую хирургию, являются собаки, имеющие первичные опухоли, ограниченные только костями и находящиеся в хорошем общем состоянии здоровья. Самыми подходящими случаями для сохранения конечности являются собаки с опухолями в дистальном отделе лучевой или локтевой кости (передняя конечность в области «запястья»). Во всех случаях антибиотик вводят внутривенно до, во время и после операции.
Различные методы органосохраняющей хирургии включают корковые аллотрансплантаты, пастеризованные или иррадированные аутотрансплантаты, аутотрансплантаты локтевой кости и стереотактики.
Аллотрансплантат (чужеродный) является стерильной, замороженной костью, сохраненной в банке костных трансплантатов (в РФ недоступно на данный момент).
В аутотрансплантате узел опухоли удаляется из кости конечности и затем обрабатывается большой дозой радиации для «убивания» опухоли. После того как аллотрансплантат, аутотрансплантат или металлический имплантат вставляется в полость, с внешнейстороны кости ставятся стальные пластины для сращивания конечности. Несмотря на то, что собака не может согнуть запястье, это не болезненное состояние, и собака может использовать ногу почти как обычно.
Хирургия занимает приблизительно 2 - 3 часа. Собаки остаются в стационаре в течение как минимум 2-4 дней. После хирургии используют мягкий бандаж (обычный, не гипс или шину). Весовая нагрузка и упражнения могут быть немедленно начаты сразу после хирургии. Это важно для предотвращения контрактуры пальцев конечности и уменьшения отека в конечности. Большинство собак возобновляет нормальную жизнь в течение одного - двух месяцев после хирургии. Лекарства, обычно использующиеся после хирургии, включают антибиотики и обезболивающие.
Химиотерапия начинается спустя 2 недели после хирургии. Применяют цисплатин, карбоплатин, или доксорубицин. Стандартный протокол - 4 - 6 процедур, с разницей в 3 недели. После хирургии, химиотерапия рекомендуется чтобы «поймать» любые случайные раковые клетки, которые, возможно, могли начать распространяться в другие области. Без химиотерапии существует очень мало шансов, что собака проживет хотя бы год после операции.
Осложнения, которые могут возникнуть после органосохраняющей хирургии, включают проблемы с имплантом, местным рецидивом опухоли и инфекциями.
Дозы облучения могут быть применены к опухоли в 3 этапа (первые две дозы с разницей в 1 неделю, вторые две дозы с разницей в 2 недели.) Улучшение функций конечности обычно начинается в течение первых 3 недель и, как правило, длится 4 месяца. Когда боль возвращается, радиация может быть повторно применена для дальнейшего облегчения боли, если это будет сочтено необходимым.
Прогноз
Прогноз для пациентов с остеогенной саркомой зависит от нескольких факторов. Средняя выживаемость у собак с остеосаркомой, которых лечили хирургией и химиотерапией составляет приблизительно 1 год. Для пациентов до 7 лет с большой опухолью, расположенной в проксимальной плечевой кости (ближе к телу), прогноз очень плохой. Недавно время выживания в течение 7 месяцев было характерно для собак, получающих радиотерапию вместе с химиотерапией; тогда как комбинация хирургии и химиотерапии показала более высокую среднюю выживаемость в 235-366 дней, 28 % при этом жили до 2-х лет. собаки в возрасте между 7 и 10 годами имеют большую выживаемость, чем молодые или более старые собаки. При остеогенной саркоме в осевом скелете средняя выживаемость составляет 4-5 месяцев из-за повторения болезни, а полное хирургическое удаление невозможно из-за местоположения.
(с) Ветеринарный центр лечения и реабилитации животных "Зоостатус".
Варшавское шоссе, 125 стр.1. тел. 8 (499) 372-27-37
Варшавское шоссе, 125 стр.1. тел. 8 (499) 372-27-37
Почитайте отзывы о нашем ветеринарном центре.
Позвоните по номеру 8 (495) 241 64 95 и запишитесь на консультацию прямо сейчас.
(с) Ветеринарный центр лечения и реабилитации животных «Зooстатус».
Варшавское шоссе, 125 стр.1.

