Венерическая саркома у собак
Венерическая саркома у собак– уникальное трансмиссивное (заразное) онкологическое заболевание, к сожалению, достаточно распространенное среди бездомных собак.
Заражение происходит при контакте слизистых оболочек – это может быть вязка, вылизывание пораженной области или даже обнюхивание.
Чаще всего поражается слизистая петли, влагалища или полового члена, но венерическая саркома может также появляться в ротовой и носовой полости, а также на конъюктиве.
Внешне эта опухоль похожа на бордовый кочанчик цветной капусты, хотя на ранних стадиях это может быть просто темно-красное, как правило, кровоточащее уплотнение. Кровоточивость – самый заметный признак наличия венерической саркомы, поскольку сама опухоль обычно находится вглубине тканей, в не самых заметных местах. Если Вы заметили подтекание капель крови у Вашей собаки из носа, петли (или препуция) – Вам следует обратиться к врачу, особенно, если собака имела контакт с бесхозными животными или просто гуляла без присмотра.

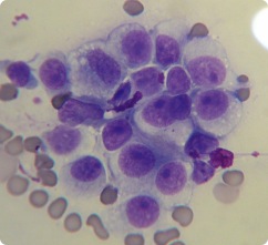
Диагностируется эта опухоль по достаточно характерной цитологической картине – врач берет мазок-отпечаток или пункцию с пораженного места и отдает на рассмотрение специалисту-цитологу.
Венерическая саркома хорошо реагирует на химиотерапию, поэтому при ее лечении практически никогда не применяется хирургия, однако, в зависимости от размера новообразования, может потребоваться довольно длительное лечение. Венерическая саркома не склонна к метастазированию (ее клетки не разносятся по организму с током крови или лимфы и не образуют новые очаги в других органах), однако собаки могут распространить опухоль с одного участка тела на другой, например, при вылизывании.
(с) Ветеринарный центр лечения и реабилитации животных "Зоостатус".
Варшавское шоссе, 125 стр.1. тел. 8 (499) 372-27-37
Варшавское шоссе, 125 стр.1. тел. 8 (499) 372-27-37
Почитайте отзывы о нашем ветеринарном центре.
Позвоните по номеру 8 (495) 241 64 95 и запишитесь на консультацию прямо сейчас.
(с) Ветеринарный центр лечения и реабилитации животных «Зooстатус».
Варшавское шоссе, 125 стр.1.

