
Заболевания ушей у животных, сопровождающиеся зудом, возникают довольно часто и нуждаются в своевременном квалифицированном лечении, потому что легко могут перейти из острой формы в хроническую, после чего вылечить их становится гораздо сложнее.
К сожалению, многие владельцы домашних животных не воспринимают зуд в ушах питомца достаточно серьёзно, и при проявлении симптомов как правило идут в зоомагазин или ветеринарную аптеку за «ушными капельками, чтобы не чесалось» или за новым кормом питомцу, ведь что же ещё это может быть, если не пищевая аллергия (это сарказм, обусловленный тем, что на очень и очень редко встречающуюся патологию, одну из самых редких причин зуда — пищевую аллергию — списывают всё на свете, ведь так проще, чем нести питомца к врачу и заниматься диагностикой, всегда хочется верить в возможность простого варианта решения проблемы).
Люди не виноваты в том, что не воспринимают зуд в ушах питомца как повод срочно обратиться за помощью к врачу. Они идут в зоомагазин не потому что являются плохими хозяевами или наплевательски относятся к своему животному. Просто зуд в ушах выглядит не страшно, не похож на угрожающее жизни и здоровью питомца состояние — первое время кот или собака выглядят как обычно, просто с зудом.
Мы решили рассказать владельцам домашних животных о возможных причинах зуда в ушах, способах их диагностики и важности своевременного обращения за лечением в ветеринарную клинику, потому что «предупрежден — значит вооружен»!
Начнём с того, что выраженный зуд, независимо от его причины, не такой безобидный симптом, как может показаться со стороны, так как всегда причиняет значительный дискомфорт животному. Проще говоря — зуд изматывает, мучает животное. Любимая фраза ветеринарных анестезиологов «Если пациент не кричит — это ещё не значит, что ему не больно» уместна и относительно выраженного зуда. Животное может выглядеть «как обычно» и на фоне серьезного дискомфорта, просто потому что наши кошки и собаки не могут разговаривать с нами, не могут рассказать о том, как сильно их что-то беспокоит.
Кроме того, постоянное расчесывание приводит к самотравматизации, а это дополнительный дискомфорт (теперь уже не только потому что чешется, но и потому что больно), риску присоединения патогенной микрофлоры (помимо основного заболевания в травмированном ухе может завестись инфекция), и даже к возникновению отогематомы (гематома ушной раковины, кровяной «мешочек», формирующийся в наружной части ушной раковины, между кожей и хрящом в ушной раковине, как правило лечится хирургически)!
Также длительно протекающий отит наружного уха может перейти в средний отит, который в свою очередь может привести к глухоте.

Причины зуда в ушах
Паразитарные заболевания (отодектоз, хейлетиеллез, демодекоз)
Паразитарные заболевания — одна из самых популярных причин зуда ушей у домашних животных и именно ее реже всего допускают владельцы (особенно хозяева не выходящих из дома кошек), даже если диагноз установлен ветеринарным врачом.
Многие люди воспринимают предположение о том, что у их питомца могут быть паразиты практически как личное оскорбление, мол, паразиты — они у грязнуль, бедных и плохих, а у регулярно обрабатываемого зверя, живущего в хороших условиях (и тем более, если речь идёт о кошках, не выходящих из дома) паразитов быть не может.
Это ошибочное мнение, в ушном клеще у домашней кошки или собаки нет ничего удивительного, ведь он может наведаться в гости из подъезда/подвала/чердака многоквартирного дома, собака может сама найти его на выгуле, да и владелец на обуви или одежде может принести клеща домой. Регулярные противопаразитарные обработки (собакам и гуляющим кошкам раз в месяц, сидящим дома кошкам раз в 3 месяца) значительно снизят риск заболевания, а если же обработки проводятся реже или не проводятся вообще, то ничего не помешает клещу обосноваться на домашнем животном.

Бактериальная инфекция
Бактериальная инфекция обычно возникает совместно с другой проблемой (теми же клещами или травмой) на фоне зуда. Если ухо постоянно чесать, то оно травмируется, воспаляется и становится прекрасным комфортным местом для размножения микрофлоры. Бактериальная инфекция редко является первопричиной зуда в ушах животных, мы перечисляем ее в списке причин, потому что она может сохраниться после решения основной проблемы. Например, у собаки был отодектоз, отодектосы ковыряли кожу уха своими лапками и челюстями, ели эпидермис, что вызывало зуд, владелец обработал питомца от паразитов и отодектоза больше нет, но бактериальная инфекция без лечения никуда не исчезнет. Если владелец не обратится к врачу и на фоне исчезнувшего зуда подумает, что с животным теперь всё хорошо, то есть риск хронического отита, который потом будет долго и болезненно лечиться, поэтому самолечение дома — зло.

Грибковая микрофлора
Грибковая микрофлора — дрожжевые грибы рода Malassezia в норме встречаются на коже и слизистых животных и человека. Благоприятными условиями для активного размножения гриба являются влажность, обильное количество секрета, содержащего липиды (выделения сальных желез кожи и секрет церуминозных желез слуховых каналов, выделяющих серу), повышенное содержание СО2 (например, у собак с висячими ушами и/или повышенным ростом шерсти в слуховом канале нарушается вентиляция наружных слуховых проходов, что способствует размножению малассезий). Также при аллергических отитах, на воспаленной коже слуховых каналов дрожжевые грибы чувствуют себя прекрасно. Размножаясь на коже, они усиливают воспаление и зуд.

Инородные тела
С инородными телами в ушах чаще сталкиваются собаки, однако случаи с кошками тоже встречаются. Травинка, семя растения и любой мелкий мусор могут попасть в слуховой проход животного и застрять там, что также вызовет зуд. Для безопасного удаления инородного тела из уха часто необходима анестезия, поскольку попытки достать что-то из слухового прохода сопротивляющегося (из-за дискомфорта) животного могут закончиться проталкиванием инородного тела еще глубже или травматизацией.
Опухоли и полипы слухового прохода
В коже, выстилающей слуховой проход, в слуховой трубке и в среднем ухе могут развиться новообразования (к сожалению, чаще всего злокачественные).

Аллергический отит
Причиной ушного зуда у животных может быть аллергическая реакция (атопия — гиперчувствительность на компоненты окружающей среды, пищевая аллергия). Аллергия редко проявляется зудом изолированно в области ушей, обычно чешутся и другие части тела животного, однако любая болезнь может протекать атипично.
Паразитарные заболевания лечатся противопаразитарными обработками, бактериальная инфекция антибиотиком, грибковая микрофлора антимикотиком, раны и травмы в зависимости от степени повреждения индивидуально, инородные тела извлекаются, опухоли и полипы удаляются хирургическим путем (если это возможно).
А теперь представьте себе, во-первых, то, как с таким списком возможных причин ушного зуда бессмысленно бежать в зоомагазин или ветеринарную аптеку за «ушными капельками, чтобы не чесалось» или судорожная смена конечно же «плохого корма» на «хороший».
Но не это главное. Хуже всего то, что эти бессмысленные действия отнимают время и возможность диагностировать заболевание на ранней стадии!
Пока хозяин капает капельки в уши или меняет корма, клещи/бактерии/грибы будут неистово размножаться, ухо расчёсываться и травмироваться, подвергаясь риску заработать бактериальную инфекцию или гематому, а может быть полип или опухоль будут расти (их тоже важно диагностировать на раннем этапе, лечение и прогноз будут приятнее).

Какие же действия следует предпринять, если у Вашего питомца появился зуд в области ушей?
Необходимо обратиться в ветеринарную клинику к врачу-терапевту или дерматологу. Врач проведет отоскопию (осмотр слухового канала специальным прибором) для исключения инородных тел, новообразований, для оценки состояния кожи слуховых каналов и наличия выделений. Также необходимо оценить целостность барабанной перепонки (если это возможно), так как не все лекарственные средства и очищающие лосьоны можно применять при ее повреждении.

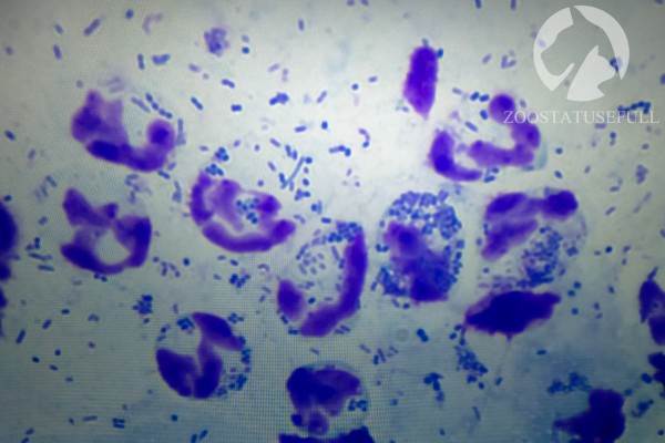
После отоскопии врач берет мазок из слуховых каналов (если имеются выделения) для исключения наличия паразитов и вторичной микрофлоры (врач смотрит под микроскопом состав выделяемого, есть ли там паразиты, бактерии и какие они).


Так проводится первичная диагностика причин ушного зуда. Если при обращению в ветеринарную клинику врач не провёл описанные выше манипуляции — это ещё не повод для паники. Иногда симптомы бывают настолько очевидны, что можно назначить лечение просто осмотрев животное. Однако если же назначенное лечение не помогает, то на повторном приёме обязательно должна быть проведена отоскопия и цитология мазка из ушного канала.
Если на повторном приёме Вам это не предлагают — это повод сменить врача или клинику.

Многие не понимают почему вообще зуд в ушах лечат дерматологи. На самом деле всё просто, уши — это тоже кожа, и большинство заболеваний ушей связаны с воспалением этой кожи (в отличие от людей, у животных не бывает «ухо продуло» и т. д.).

В заключение мы хотим показать вам видеоролик — яркий пример того, что может скрываться за простым «у котика чешется ушко» (если не хотите такой живности в ушах своих домашних животных, не забывайте раз в 3 месяца обрабатывать питомцев Стронгхолдом, Фронтлайном или любым аналогичным по действию препаратом)!
Сенаторов Никита Андреевич (ветеринарный координатор ВЦ «Зоостатус), совместно с Романовой Анастасией Алексеевной (ветеринарный врач-терапевт, дерматолог ВЦ «Зоостатус»).
Статья в блоге Вконтакте
Скачать статью в формате pdf, epub или doc можно здесь

